Рак легкого – одно из самых труднодиагностируемых и трудноизлечимых онкологических заболеваний. Это связано с тем, что первые симптомы появляются уже на поздних стадиях, когда лечение оказывается малоэффективным. Рак легкого занимает лидирующие позиции среди всех злокачественных новообразований как среди мужчин, так и женщин – первое и второе место, соответственно, а также является основной причиной смерти от рака. Заболеваемость и смертность от рака легкого составляют приблизительно 22 и 18 случаев на 100 тыс. населения. По оценкам экспертов в этом году ожидается более 238 000 новых случаев и 127 000 смертей от этого заболевания.
Одним из наиболее эффективных методов скрининга рака легкого на сегодняшний день является низкодозная компьютерная томография (НКТ). Он позволяет снизить смертность от заболевания практически на четверть. Однако как для всех диагностических методов, в том числе радиологических, эффективность низкодозной КТ зависит от множества факторов, например, опыта и рабочей нагрузки на врача, качества снимка и т.д. И здесь на помощь радиологу приходит искусственный интеллект (ИИ). Новый инструмент Sybil, который представляет собой сверточную нейросеть, с поразительной точностью позволяет предсказать вероятность развития рака легкого у пациента в ближайшие годы.
На сегодняшний день FDA уже одобрено более 300 инструментов ИИ для использования в радиологии, но Sybil еще не вошел в этот список. При этом большинство инструментов используется для улучшения качества диагностики и лечения, но не предсказания риска развития рака в будущем.
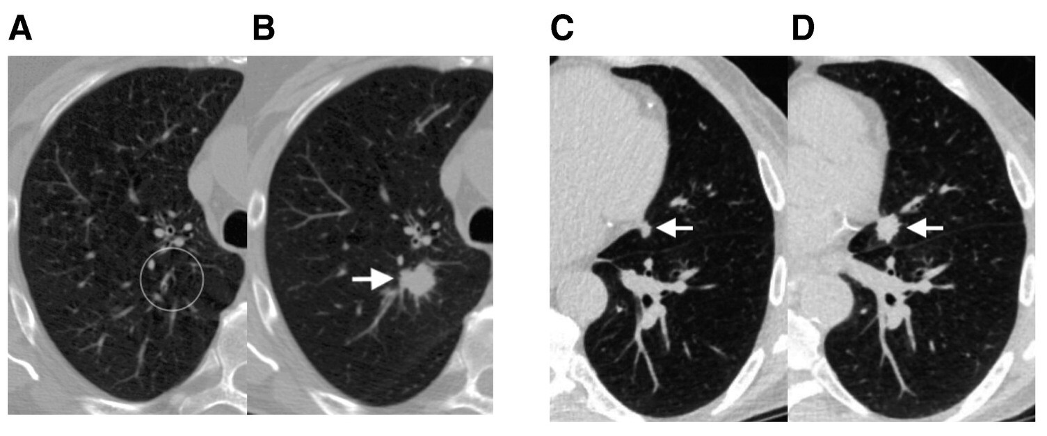
Для предсказания риска развития рака легкого алгоритму достаточно одного снимка низкодозной КТ. В трехмерных изображениях Sybil ищет признаки аномального роста, подозрительные образования, которые определяются по незаметным невооруженному глазу различиям в контрастности областей изображения (Рис. 1). На основе этого алгоритм может делать прогноз относительно вероятности развития рака в ближайшие 1-6 лет.
.jpeg)
Рисунок 1. А. Изображение низкодозной КТ легкого пациента (69 лет, история курения 99 пачек в год) без видимых узловых образований в правой верхней доле легкого. Кругом отмечена область, определенная нейросетью как подозрительный участок. B. Изображение низкодозной КТ легкого этого же пациента два года спустя. На снимке определяется плотное узловое образование. По данным резекции был подтвержден низкодифференцированный плоскоклеточный рак легкого размером 2.2 см (pT1cN0M0, стадия IA3). С. Изображение низкодозной КТ легкого пациента (67 лет) с анамнезом курения 30 пачек в год и плотным узловым образованием диаметром 7 мм в язычке легкого рядом с сердцем (стрелка), которое было пропущено радиологом. D. Изображение низкодозной КТ легкого этого же пациента спустя год. Анализ образования размером 1.5 см (указано стрелкой) и образцов тканей средостения подтвердили аденокарциному (cT1bN2M0, стадия IIIA). Источник: Journal of Clinical Oncology, 2023. DOI: 10.1200/JCO.22.01345
Алгоритм был апробирован на трех независимых наборах данных, включающих 6 282, 8 821 и 12 280 пациентов, соответственно. Точность алгоритма варьировала от 84% до 94% при предсказании вероятности развития рака в течение одного года и от 75% до 80% – в течение шести лет.
Однако, как и все другие инструменты ИИ, Sybil не лишен недостатков. Эффективность и точность алгоритма зависят от типа и качества данных, на которых этот алгоритм обучается. Так, например, для обучения нейросети использовалась ограниченная выборка пациентов, которая не включала достаточное количество чернокожих или латиноамериканских пациентов, что ограничивает применимость инструмента в мировых масштабах.
Материал подготовлен в рамках проекта «Медицина в точке бифуркации». Проект поддержан грантом Минобрнауки России в рамках федерального проекта «Популяризация науки и технологий»
Источник: Peter G.M. et al. Sybil: A Validated Deep Learning Model to Predict Future Lung Cancer Risk From a Single Low-Dose Chest Computed Tomography // Journal of Clinical Oncology, 2023. DOI: 10.1200/JCO.22.01345